Take the Next Step
Find a thyroid disorder expert.

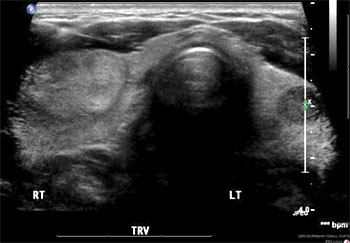
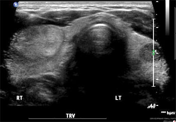
Thyroid Nodule

thyroid nodule Solid or fluid-filled lumps that grow in the thyroid gland are called nodules. More than 90 percent of thyroid nodules are benign (noncancerous).

These growths are common and affect about half of people aged 60 or older. Women are more likely than men to develop thyroid nodules. If you suspect you have a thyroid nodule, turn to the thyroid experts at Henry Ford Health System for an accurate diagnosis and effective treatment.

What are the symptoms of a thyroid nodule?

Many people with a thyroid nodule don’t even know it’s there.

If a nodule is large enough, it can form a goiter. Patients with larger or multiple nodules can have symptoms due to the size of the goiter. These can include:

  • A lump in the neck
  • Difficulty swallowing or breathing
  • Feeling like something is stuck in your throat
  • Choking sensation
  • Neck pressure

If the nodule is overactive and causes hyperthyroidism, you may experience symptoms such as:

  • Anxiety
  • Irregular heartbeat
  • Weight loss

How do we diagnose and evaluate thyroid nodules?

Your doctor may diagnose a thyroid nodule during a routine physical exam. Thyroid nodules sometimes show up on imaging tests, like an MRI or CT scan.

To determine if the nodule is causing problems, your doctor may recommend additional tests, including:

  • Blood tests to assess thyroid function
  • Imaging tests to look closely at the size of the nodule
  • Biopsy of tissue from the thyroid nodule using fine-needle aspiration to check for cancer cells

How do we treat thyroid nodules?

Most benign nodules don’t require any treatment.

If you have a nodule that is large enough to cause breathing or swallowing problems, you may need thyroid surgery. You may also need surgery if a nodule is cancerous. Our skilled thyroid surgeons use advanced, minimally invasive methods to successfully remove thyroid nodules.

In the past, surgery was the only option to deal with this problem. While surgery is effective, it does leave a scar and it has risks. Henry Ford now offers a minimally invasive medical procedure that treats thyroid nodules, called radio frequency ablation (RFA). This non-surgical treatment option is appropriate for some patients, and we will evaluate this treatment option with you.

What to Do About Thyroid Nodules

According to ear, nose and throat specialist, Dr Shivangi Lohia, most thyroid nodules are harmless. She covers what thyroid nodules are, what causes them and what the treatment options are in a recent blog article.

woman at doctors appointment
Take the Next Step
Find a thyroid disorder expert.
X

Cookie Consent

We use cookies to improve your website experience. By using this site, you agree to our Terms of Use. Read our Internet Privacy Statement  to learn what information we collect and how we use it.

Accept All
Dismiss